티스토리 뷰
스마트폰은 우리의 일상생활의 일부가 되었습니다. 그에따른 부작용도 있기 마련인데요, 특히 잘못된 자세에서 오는 거북목으로 인한 고통을 많은 사람들이 호소하고 있습니다. 오늘은 거북목 교정기와 운동없이 거북목 치료하는 법에 대해 알아보겠습니다.

목차
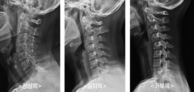
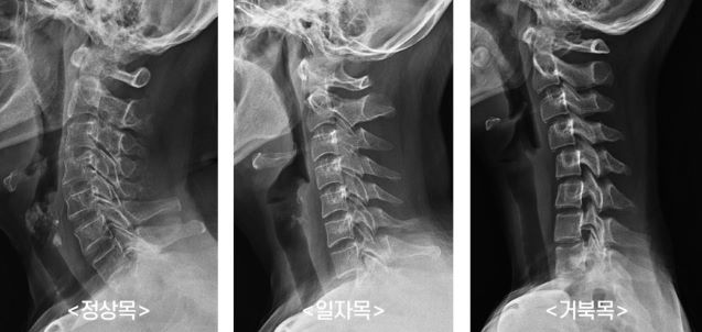
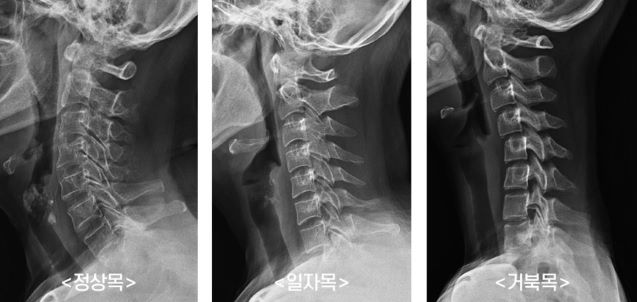
1. 거북목이란?
정상적인 사람이라면 목뼈를 측면에서 봤을 때 C자 모양의 커브를 형성하고 있으며 이를 의학적으로 경추 전만곡이라고 합니다. 그러나 수없이 많은 원인으로 인하여 전만곡이 감소하여 목뼈의 형태가 일자형이 되거나 오히려 앞으로 기울어져 역 C자 형태로 변형되는 경우를 흔히 우리는 거북목이라고 부릅니다.

2. 거북목 주요 증상
거북목 주요 증상은 주로 목이 뻣뻣해지는 느낌이 들고, 두통, 승모근 통증 등이 주로 나타납니다.
또한 목, 어깨 결림, 시력 저하, 잦은 피로감 등이 있으며 심한 경우는 구토를 하는 경우도 발생합니다.
이렇듯 거북목은 우습게 생각하고 넘길 질병이 아닙니다. 잘못하면 일상생활을 하지 못할정도록 심각하게 악화될수 있으며 목 디스크로 전환될 가능성이 높습니다.
3. 거북목 발생 원인
요즘 대부분의 사람들이 스마트폰을 사용하고 심지어 어린 아이들까지도 스마트폰으로 영상을 보지 않으면 부모님들이 식당에서 맘편히 식사를 하지 못할 정도로 스마트폰은 우리의 일상생활의 일부가 되었습니다. 그에따른 부작용도 있기 마련인데요, 평소 스마트폰, PC, 태블릿을 자주 사용하는 현대인들은 장시간 눈높이보다 낮은 전자기기를 내려다 봐 목에 상당한 무리를 줍니다. 전자기기를 똑바로 응시하다가도 자신도 모르게 고개가 숙여지면서 목이 길어집니다. 그런 자세가 고착되면 목뼈가 앞으로 구부러지고 중력에 의한 머리무게를 견디기 위해 역C자로 변형됩니다. 전자기기뿐만 아니라 책을 보는 자세에서도 발생할 수 있으니 주의해야 합니다.
휴대용 전자 기기들이 최근 들어서 급격히 늘어나면서 유병률이 높아지고 있으며 다른 척추 질환과 달리 퇴행성 변화가 주요 원인이 아니기 때문에 젊은 환자의 비율이 높습니다. 심각한 것은 중학생 이하의 어린이들에게도 많이 발생한다는 것입니다. 또한, 성장기의 청소년이나 척추 측만증이 있는 환자들에서도 발생할 수 있습니다.
4. 거북목 진단
아래와 같은 증상이 있으신 분들을 거북목을 의심해봐야 합니다.
① 옆에서 봤을 때 등이 굽어 있다.
② 잠을 많이 자도 피곤하고 목주위가 뻐근하고 불편하다.
③ 쉽게 피로하고 이유없이 두통이 있으며 어지럼증을 느낀다.
④ 옆에서 보면 고개가 어깨보다 앞으로 빠져나와 있다.
⑤ 음식을 먹으면 소화가 안되고 구토할것 같다.
5. 거북목 치료
보편적인 거북목 치료에는 통증 치료와 교정 치료 두 가지가 있습니다.
가장 시급히 치료해야 하는 부분이 바로 통증인데 통증의 경우에는 비수술적인 치료인 신경치료술을 통해 통증을 완화시키고 체외충격파를 함께 시행합니다. 이후에 급성 통증이 완화되면 도수치료를 통해 환자의 경추 전만곡을 교정해줍니다.
하지만 이런 치료는 비용이 많이 들 뿐더러 치료 시간도 오래걸립니다. 저는 이런 방법을 통해서 치료하지 않고 저만의 방법을 찾아서 정확히 2주만에 거북목으로 인한 만성두통과, 어지러움증, 구토증상을 깨끗하게 없엤습니다.
우선 거북목 교정기(자세교정기)를 구매하셔야 합니다. ▼글 아래 버튼을 클릭하시면▼ 2~3만원 사이에 구매하실수 있으며 통증 치료나 도수치료에 비하면 현저히 낮은 가격입니다.
아래 그림과 같이 착용하시고 3번의 과정에서 고정끈을 최대한 당겨서 어깨가 뒤로 심하게 당겨졌다는 느낌이 들 정도로 조여줍니다.

저는 교정기를 차고 2주간 24시 착용하였습니다. 워낙 증상이 심했기 때문에 빨리 벗어나고 싶은 마음에 잘때도 착용하고 잤습니다. 처음에는 익숙해진 자세에서 급격한 변화를 주니 어깨와 등쪽에 불편함을 많이 느꼈습니다. 불편함을 많이 느끼시는 분들은 시간을 조절해서 착용하시길 추천드립니다.
착용하는 시간이 지날수록 익숙해지고 만성 두통과 어지러움이 조금씩 사라지기 시작했습니다. 2주 후에는 머리가 맑아지는 느낌이 들면서 모든 고통이 사라지고 신세계를 경험했습니다.
이상으로 거북목 교정기를 이용한 거북목 치료하는 방법에 대해 알아봤는데요 생각보다 거북목으로 고생하시는 분들이 많이 있습니다. 일반적인 치료로 효과를 보지 못하신 분들은 꼭 거북목 교정기를 구매하셔서 고통에서 해방받으시길 바라겠습니다.